タイで高騰する歯科治療費と駐在員の不安を解決する
「一時帰国外来」のご案内
歯科治療費の高騰が進むタイ
タイでの生活において、歯科治療に関する不安を感じている方は少なくありません。
「銀歯が取れた」「入れ歯が壊れそう」「治療を受けたいが、どこが良いかわからない」といったお悩みを抱えていませんか?
タイ国内の一般的な歯科治療は比較的安価ですが、外国人向けのクリニックでは自由診療が中心となり、治療費がタイ人向けの歯科医院の2〜3倍に設定されていることが一般的です。さらに円安の影響もあり、10年前と比べると治療費が2〜2.5倍に跳ね上がっています。
例えば…
- インプラント治療の費用が日本以上に高額になることも
- 矯正治療やセラミック治療の費用が欧米なみに高騰
- 支払いは基本的に現金やクレジットカードのみ、保険が効かないケースが多い
このような状況から、「できれば日本で安心して治療を受けたい」と考える駐在員が増えています。
一時帰国の短い滞在期間では、日本の一般的な歯科通院ペース(週1〜2回)とスケジュールが合わず、治療を開始できないケースが多発しています。
また、治療に必要な回数を確保できず、完治しないままタイに戻らざるを得ないこともあります。
そこで同院では「一時帰国外来」を新設しました。
「短期間の帰国で効率よく歯の治療を受けたい」というニーズに応えるために、一時帰国のタイミングを最大限活用し、短期間で集中的に治療を行うプログラムです。
『一時帰国外来』
一時帰国のスケジュールに合わせて短期間で治療可能
一時帰国外来では虫歯や歯周病だけではなく、かみ合わせの状態など、レントゲンなどからお口の状態をチェックしていきます。
お口の中の健康は全身の健康につながっていき、素敵な笑顔は健康の証です。全身の健康のためにも一時帰国外来を受けられることをおすすめします。
- 事前オンラインカウンセリングで治療計画を立てる
帰国前にオンラインでカウンセリングを実施し、事前に治療の計画を立てます。これにより、帰国後すぐに治療を開始でき、短期間での治療完了が可能になります。 - 限られた期間で最大限の治療を実施
限られた期間で何カ月もずっと通っていた日本独自の健康保険の通院規定とは違い、患者様お一人のみ治療するというパーソナル重視型の治療をおこないます。1日もしくは半日にかけて休憩をはさみながら集中的に治療し、1日でできる治療をプログラム化し、効率よく迅速に進めていく一時帰国外来ならではのプログラムです。 - 帰国後のフォローアップも万全
一時帰国の間に治療を完了できない場合でも、次回の帰国時にスムーズに治療を再開できるようサポート。また、オンライン診療を活用し、帰国後の治療の経過をフォローします。
一時帰国外来の治療スケジュール
- 歯の相談
- テレビ電話でカウンセリング
- 治療計画のご提案
- 帰国
- レントゲン精密検査
- 治療期間・治療費の説明・契約
- 今回の滞在期間中にできる範囲の治療の開始
- 仮歯の装着
- 次回帰国時のスケジュールにて来院
- 仮歯を外して治療再開
- 型取り
- 完成
- メンテナンス来院
言葉の壁と治療技術の差、日本と異なる治療方針
タイでは、英語や日本語が通じる歯科医院も増えてきましたが、やはり細かい説明や治療方針については言語の壁を感じることが少なくありません。
また、日本の歯科治療とは異なり、タイでは抜歯を優先する治療方針をとるケースもあり、慎重に判断しないと「本当は残せたはずの歯を抜かれてしまった…」ということになりかねません。
さらに専門分化が進んでいるため、治療のたびに異なるクリニックを訪れる必要があり、治療計画が複雑になることも。「日本のように、かかりつけ歯科医が一貫して診てくれる安心感がほしい」と思う方も多いでしょう。
帰国時にまとめて治療!「一時帰国外来」のメリット
海外でも安心の歯科治療を
歯の健康は、食事や生活の質に直結します。しかし、海外では言語の問題や治療の進め方の違いから、満足のいく治療を受けることが難しいのが現状です。
「日本で確実な治療を受けたい」「短期間の帰国を有効活用して歯の治療を終えたい」という方は、同院の「一時帰国外来」をご利用ください。
海外在住の皆さまが、安心して歯の健康を守れるよう、万全のサポート体制を整えています。
豊富な実績と最新技術
アメリカ、カナダ、東南アジアなど、世界各地の駐在員の方々の治療を数多く手がけてきた実績があり、日本の最新歯科技術を駆使した治療を提供しています。
歯の健康は、豊かな海外生活のための基盤。歯の不調は、日々の食事や仕事のパフォーマンスにも影響を及ぼします。せっかくの海外生活も、歯のトラブルが原因で楽しめなくなってしまうのはもったいないことです。
一時帰国中に歯の健康を取り戻し、タイでの快適な生活をサポートします。
実績と信頼のある治療で、完治から治療およびサポートまであなたの歯の健康をしっかりとお守りします。
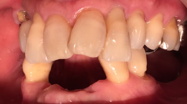
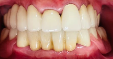
治療症例
セラミックの被せ物とバネの目立たない入れ歯を使ったコンビネーション治療で見た目を美しくした治療後の症例をご紹介。
【症例1】カナダ在住駐在員 50代
【治療方法】メタルボンドクラウン・シルキーデンチャー
【治療の詳細】
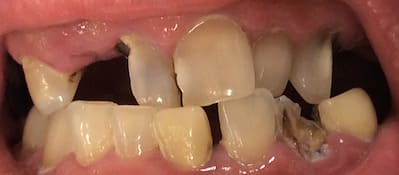
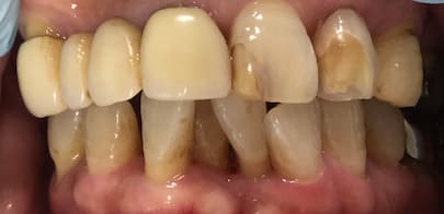
【症例2】ロサンゼルス在住 50代男性
【治療方法】ジルコニアオールセラミックスクラウン・シルキーデンチャー
【治療の詳細】
【症例3】タイ在住 60代女性
【治療方法】メタルボンドクラウン
【治療の詳細】
診療案内
- 海外在住者向け一時帰国外来
- やわらか入れ歯
- 審美歯科(セラミック)
- セラミック矯正
- インプラント
- オフィスホワイトニング
- 精密根幹治療 ほか
| 「医療法人 いもじ歯科クリニック 本院」の詳細情報 | |
| 名前 | いもじ歯科・美容クリニック(福井県) |
|---|---|
| ジャンル | 歯科 |
| エリア | 日本 |
| 電話番号 |
(+81)0770-25-3001 090-7598-3001(一時帰国外来専用) |
| 診療時間 | 9:30〜12:00 13:30〜18:00(土曜日は17:30、日曜日は17:00まで) |
| 休診日 | 木曜日、祝日 |
| WEBサイト | |
| LINE | |
| 所在地 | |
| 「いもじ歯科クリニック 藤沢院」の詳細情報 | |
| 名前 | いもじ歯科クリニック 藤沢院(神奈川県) |
|---|---|
| ジャンル | 歯科 |
| エリア | 日本 |
| 電話番号 |
(+81)0466-28-4618 090-7598-3001(一時帰国外来専用) |
| 診療時間 | 10:00〜12:00 14:00〜17:00 |
| 休診日 | 月・火・土・日・祝日 |
| WEBサイト | |
| LINE | |
| 所在地 | |


















